Prof. MUDr. Jan Štulík, CSc. Informace o léčbě onemocnění páteře
s garancí Prof. MUDr. Jana Štulíka, CSc.

Degenerativní onemocnění páteře

Soubor změn na meziobratlové ploténce, kloubech, vazech a kostních strukturách, které ovlivňují správnou funkci páteře.



Kapitola 1.

Co je to degenerativní onemocnění páteře?

Degenerativní onemocnění páteře je soubor změn na meziobratlové ploténce, kloubech, vazech a kostních strukturách, které ovlivňují správnou funkci páteře. Jedná se o velmi různorodý soubor onemocnění a příznaků.

Definice

Degenerace páteře je proces, při kterém se zhoršuje původní kvalita tkání a ztrácí funkční schopnost z důvodu traumatizace, stárnutí, opotřebení nebo jiných vlivů.

Koho to postihuje:

Degenerativní onemocnění páteře se obvykle objevuje v pokročilejším dospělém věku nebo ve stáří, různé formy degnerativního postižení ale mohou postihnout prakticky kohokoliv.

Kolik jich je (incidence):

Výhřez meziobratlové ploténky je běžná páteřní diagnóza s incidencí 40-50 případů na 100 000 obyvatel. Většina výhřezů je lokalizována ve více pohyblivých páteřních segmentech, krčních a bederních. Naproti tomu výhřezy ploténky v hrudní oblasti jsou odhadovány pouze na 0,1 případu na 100 000 obyvatel

Klasifikace

Postup degenerativního onemocnění páteře lze rozdělit na horizontální (segmentální) degeneraci a degeneraci přilehlé meziobratlové ploténky (ASD, adjacent segment disease). U horizontální degenerace dochází nejprve k postižení meziobratlové ploténky a potom k artróze (zvětšení) meziobratlových kloubů.

Degenerativní změny na páteři dělíme na typ A, B a C:

Typ A

Typ A představuje počáteční fázi degenerace v gelovitém jádru ploténky. Rozdělujeme ji na základě moderních zobrazovacích metod na vakuum fenomén, zmnožení tekutiny v ploténce a osifikaci (zkostnatění) uvnitř ploténky.

Typ B

Typ B zahrnuje degeneraci celé ploténky včetně vazivově chrupavčitého prstence (anulus fibrosus) a přilehlých obratlových těl. Typ B dále dělíme na fissury anulu (trhlinky chrupavčitého prstence), dislokace ploténky, změny v krycí ploténce obratlového těla, změny v těle obratle (Modic), segmentální nestabilitu a degenerativní spondylolistézu (posun obratlových těl).

Dislokace ploténky kvalitativně dělíme na difúzní (plošnou) a fokální (výhřezy ploténky), difuzní dále na prominenci ploténky a prominenci anulu. Fokální dislokace rozdělujeme na protruze, extruze a extruze se sekvestrem. Anatomické dělení hernií disku v horizontální rovině je na přední a zadní, zadní dále na centrální, mediánní (ve střední rovině), paramediánní (v rovině paralelní se střední), foraminální (foramen = otvor mezi dvěma sousedícími obratli, přes který vystupuje nervový kořen ven z páteře) a extraforaminální (utlačuje odstup nervového kořene mimo páteřní kanál z vnější strany).

Typ C zahrnuje rozsáhlou degeneraci celého pohybového segmentu (obratel-ploténka-obratel) s artrózou meziobratlových kloubů, zbytněním žlutého vazu a zúžením páteřního kanálu s útlakem nervových struktur.

Z klinického pohledu se jeví jako významné ještě rozdělení stenózy páteřního kanálu na centrální, laterální (boční) a foraminální.

Spondylóza je velmi často používaný nespecifický termín pro hypertrofické změny (osteofyty – kostní nárůstky) v oblasti krycích ploch a meziobratlových kloubů. Rozeznáváme tři druhy osteofytů, trakční, drápovité a objímající. Trakční osteofyty jsou většinou velké 2-3 mm a prominují horizontálně přes okraje obratlového těla, drápovité osteofyty jsou větší a směřují přes disk k protilehlému obratli a někdy dochází k jejich srůstu. Často bývají přítomné oba druhy osteofytů na jednom obratli ve spojení s horizontální nestabilitou. S instabilitou jsou rovněž spojeny objímající osteofyty intervertebrálních kloubů produkované organismem jako obrana proti dislokaci páteřního mobilního segmentu.

Kapitola 2.

Klinické projevy

Bederní páteř

Bolest

Je hlavním klinickým projevem. Dominují bolesti v oblasti bederní páteře a v oblasti krížové. Při dráždění nervových struktur útlakem v páteřním kanálu na podkladě degenerativních změn můžou být i přítomny bolesti vystřelující do dolních končetin (radikulární syndrom, iritace), nepříjemné brnění, pálení či mravenčení (parestezie, dysestezie) a nebo allodynie (stav, kdy člověk pociťuje bolest z podnětů, které obvykle bolest nezpůsobují – pouhý dotyk apod.).

Ztráta funkce

Ztrátou funkce je myšleno omezení pohyblivosti dolních končetin (motorický deficit)., ztráta čití (senzitivní deficit), poruchy funkce svěračů a v nejzávažnějších případech ochrnutí. Neurologické projevy mohou vznikat pomalu nebo náhle. Postupně se horšící neurologické postižení se projevují postupným oslabením dolních končetin/y při chůzi nebo obtížemi při vylučování – nemnožností vymočit se nebo naopak inkontinencí. U mužů může vést k erektilní dysfunkci. Náhle vzniklé příznaky jsou typické pro akutní výhřezy meziobratlové ploténky nebo jsou spojeny s úrazy.

Krční páteř

Bolest

Objevují se bolesti šíje, hlavy, ramen, lopatek i horní části hrudní páteře. Bolest může vystřelovat do horních končetin. Jindy se objevuje brnění horních končetin, nejčastěji prstů ruky.

Ztráta funkce

I na horních končetinách se může vlivem útlaku nervových struktur při degenerativním postižení krční páteře postupně rozvíjet oslabení horních končetin.

Při výrazných degenerativních změnách na krční páteři s výrazným útiskem míchy, kdy dochází k nevratným změnám míchy (myelopatie míchy) se vystřelování bolesti, brnění a oslabení může objevit i na dolních končetinách.

  • Možnosti ošetření degenerace krční páteře

Diagnostika

Klinické vyšetření

Základem diagnostiky je odběr anamnézy a klinické vyšetření. Z anamnézy zjišťujeme dobu trvání obtíží, jejich vznik a průběh, další pacientovi choroby, eventuelní onemocnění páteře v rodině.

Při fyzikálním klinickém vyšetření zjišťujeme postavení páteře, stav kolempáteřního svalstva, místa bolestivosti. Dále pak doplňujme neurologické vyšetření, při kterém zjišťujeme sílu končetin, změny čití na končetnách apod.

Výsledky těchto vyšetření nasměrují další diagnostický postup.

Zobrazovací metody

Zobrazovací techniky jsou základem vyšetřovacího algoritmu.

RTG páteře

Prosté RTG vyšetření ve dvou projekcích v mnoha případech nepřímo znázorní změny na meziobratlovém disku a v páteřním kanále. Společně s anamnézou a klinikou nás vedou k provedení MRI, které jednoznačně prokáže změny v páteřním kanálu a potvrdí správnou diagnózu.

MRI páteře

Jde o časově náročnější vyšetření (přibližně 30 – 45 minut). Výsledkem je přesné zobrazení měkkých tkání (ploténky, vazy, nervové struktury atd.) o různé intenzitě signálu (odstín šedi). Intenzita signálu v meziobratlové ploténce koreluje s úrovní pokročilosti degenerativních změn. V pokročilejší fázi onemocnění prokazujeme na MRI změny v oblasti krycích destiček obratlových těl a těl obratlů, tzv. Modicovy změny.

CT páteře

U všech pacientů s podezřením na osifikace v páteřním kanálu, instabilitu segmentu a u všech pacientů po předešlých operačních výkonech provádíme rovněž CT vyšetření páteře v tenkých řezech ve třech na sebe kolmých rovinách. CT detailně prokreslí tvar a rozsah osifikací, podá informace o strukturách nutných k zavedení fixačních prvků, odhalí kostní srůsty obratlů a další informace nutné k plánování operačního výkonu respektive další léčby.

Kapitola 3.

Konzervativní postupy nebo operace?

Konzervativní terapie je u většiny pacientů základem iniciální fáze léčby a je doménou lékařů první linie. Operační léčba je v první fázi indikována pouze v případě závažných akutních neurologických příznaků jako je ochrnutí dolních končetin nebo syndrom kaudy. Chirurgická intervence je většinou plánována při neúspěšné konzervativní terapii a přetrvávání nebo zhoršení klinických příznaků.

Konzervativně

Degenerativní onemocnění páteře lze v mnoha případech léčit konzervativně (tedy neoperovat). Základem konzervativní léčby je fyzioterapie a medikace v různých formách.

RHB

Cílem fyzioterapie je posílit svalový korzet páteře. Pokud je indikována, dostanete v naší ambulanci žádanku, která platí po celé České republice. S tou se objednáte na Vámi vybrané pracoviště, kam budete následně pravidelně docházet.

Analgoterapie

Pokud má pacient bolesti, můžeme je tlumit pomocí léků. Pacientovi pak lze případě potřeby napsat doporučení do ambulance léčby bolesti nebo k neurologovi.

Infuzní terapie

Infuzní terapie je metoda umožňující podání léčivých přípravků (analgetika, léky na uvolnění svalů atd.) ve formě infuzního roztoku (infuze, lidově nazývaná „kapačka“) přímo do krevního řečiště pacienta (nitrožilní aplikace), čímž je dosaženo rychlejšího nástupu účinku léčiv. Infuzní terapii lze opakovat.

Obstřiky

Aplikace léčivé látky konkrétně do místa bolesti. Možné jsou rovněž navigované obstřiky pomocí ultrazvuku či CT.

Chirurgicky

Pokud jsou obtíže pacienta i přes konzervativní léčbu stejné nebo se zhoršují, zvažujeme operaci. Operaci doporučujeme u pacientů se zánikovou symptomatologii, u pacientů se zhoršováním obtíží v čase nebo u pacientů, kteří vyžadují pravidelně vysoké dávky silných léků na bolest.

Krční páteř

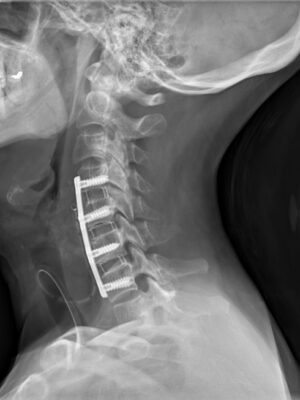
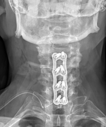
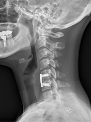
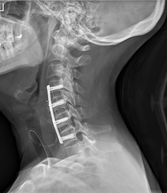
Krční páteř operujeme nejčastěji z předního přístupu. Příčným řezem v tzv čárách štěpitelnosti kůže (vráskách) se dostaneme k postiženému segmentu páteře. Po odstranění meziobratlové ploténky a osteofytů, které utlačovaly nervové struktury nahradíme vyplníme meziobratlový prostor implantátem vyplněným kostním štěpem odebraným z lopaty kosti kyčelní a obratlová těla fixujeme speciální krční dlahou.
V případech víceetážového postižení krční páteře volíme operační přístup zadní.

Bederní páteř

K dispozici jsou tři základní operační přístupy, zadní, přední a boční (lumbotomie). Každý z přístupů má svoje specifické indikace. Výběr operačního přístupu závisí na charakteru nálezu, lokalizaci, velikosti a typu, charakteru pacienta (obezita) a zvyku pracoviště. Zadní přístup je zlatým standardem k ošetření běžného degenerativního onemocnění bederní páteře. Řezem ve střední čáře se dostaneme k postiženým segmentům, dostatečně uvolníme tlak na nervové struktury a v případě potřeby, při riziku vzniku nestability, páteř stabilizujeme zavedením dvou titanových šroubů do každého obratle v rozsahu operovaných segmentů. Šrouby jsou pak spojeny titanovou tyčí na každé straně. Abychom podpořili hojení, tak přikládáme k implantátu kostní štěpy odebrané v průběhu operace z lopaty kosti kyčelní. Přední přístup i boční přístup mají své úzké indikační okno. Jsou indikovány v případě, že lokální nález anatomicky nedovoluje ošetření meziobratlové ploténky ze zadního přístupu. Bývají většinou doplňovány tzv. ve druhé době (s odstupem po absolvování zadní operace).

Kapitola 4.

Základní informace

Bezprostředně po operaci je pacient uložen na jednotku intenzivní péče, kde je dle závažnosti operačního výkonu a klinického stavu intenzivně monitorován. Je podávána účinná analgetická terapie, léky pro prevenci hluboké žilní trombózy, prevenci vředové choroby žaludku a dvánáctníku, chronické léky a další léky dle aktuální potřeby.

Délka pobytu na lůžku intenzivní péče je při nekomplikovaném pooperačním průběhu obvykle 1-3 dny. 1. pooperační den, pokud to stav dovolí, se provede kontrolní zobrazovací vyšetření. 2. pooperační den je pacient fyzioterapeutem poučen o pohybovém režimu a za jeho asistence postupně vertikalizován. Po stabilizaci stavu následuje překlad na standardní lůžko. Pokračuje nácvik vertikalizace a mobilizace, sebeobsluhy. Pacienti mají po operaci zaveden odsavný drén (případně drény), které odvádějí krev z místa operační rány. Pokud jsou odpady do drénu malé, může být drén vytažen.

S postupujícím časem od operace je možno postupně redukovat analgetickou terapii natolik, aby pacienti mohli být propuštěni domů bez její významné podpory.

Průměrná doba hospitalizace u operací krční páteře jsou tři, u operací páteře bederní pak pět dnů. Stehy nebo svorky obvykle odstraňujeme 14. den od operace. U operací krční páteře většinou používáme samovstřebatelné stehy

Podpora

Límec

Po operaci krční páteře indikujeme fixaci krku krčním límcem na dobu tří měsíců sedět a vstávat z lůžka je pacientům po operaci krční páteře s krčním límcem umožněno nejčastěji již první den po operaci.

Berle

Po operaci bederní páteře obvykle indikujeme chůzi o podpažních berlích po dobu tří měsíců. Chůze o podpažních berlích je možná již několik dní po operaci. Pacient se nejprve postavuje za dopomoci fyzioterapeutů. První kroky bývají náročné (je běžné, že se pacientům po dlouhém ležení motá hlava).

Doba hojení

Standardní doba hojení jsou tři měsíce. Po tuto dobu nosí pacienti po operaci krční páteře límec. Prvních šet týdnů jej snímají pouze na hygienu. Po kontrole v šesti týdnech jen na cesty v dopravních prostředcích a větší fyzickou aktivitu.

Pacienti po operaci bedení páteře chodí o podpažních berlích. Sezení je třeba omezit na minimum. Prvních šest týdnů po operaci doporučujeme sedat pouze na toaletu. Po první kontrole se bele odkládají při cůzi doma, sezení je umožněno i u jídla a v autě na sklopené sedačce na místě spolujezdce.

Post rehabilitace

Po zhojení (tedy nejdříve po třech měsících) přichází na řadu intenzivní rehabilitace. Na ambulantní kontrole budete vybaveni žádankou (s platností po celé České republice) a také doporučením do lázní.

Kdy? Práce, škola, sport…

Kdy do práce (do školy)?

Návrat k běžným aktivitám probíhá postupně dle tolerance pacienta. Vždy je nutné vzít v úvahu, o jaký typ zaměstnání se jedná. Práce na PC je vleže na posteli možná relativně krátce po operaci. Naopak manuálně náročná práce je možná nejdříve za 3-4 měsíce od operace. V případě školní docházky je vhodné probrat danou situaci s vyučujícími a pokud to lze, domluvit se na možnosti distanční výuky.

Kdy sport?

Návrat ke sportu je možný nejdříve z 3-4 měsíce od operace, dle tolerance pacienta.

Kdy kontrola?

Kontroly probíhají v 6 týdnech od operace, ve 3 měsících, poté v 6 a 12 měsících a následně jednou za rok nebo dle stavu pacienta. V případě obtíží je samozřejmostí kontrola kdykoliv mimo toto schéma. Na první kontrolu po operaci bederní páteře přiváží pacienta sanita (poukaz dostává od nás při odchodu z nemocnice), v případě příznivého nálezu na kontrole je následně pacientovi umožněn transport i v osobním automobilu na místě spolujezdce se sklopenou sedačkou.

Na kontrolách provádíme RTG, EOS nebo CT (dle indikace lékaře) k posouzení hojení kostní dézy a stability implantátu.

Prof. MUDr. Jan Štulík, CSc. s garancí Prof. MUDr. Jana Štulíka, CSc.

Úvodem Manifestace Léčba Pooperační péče


Přednosta Kliniky spondylochirurgie 1. LF a FN Motol

Spoluzakladatel české spondylochirurgie jako samostatného medicínského oboru. Profesorem v oboru ortopedie od roku 2010.

Od roku 2016 přednosta Kliniky spondylochirurgie 1. lékařské fakulty Univerzity Karlovy a Fakultní nemocnice v Motole.

Autor řady odborných publikací a několika unikátních operačních postupů. Pacienty byl vyhlášen lékařem roku 2017.